WHY CHOOSE US
At Choonara Orthodontics, you’re welcomed as family. Our highly trained, friendly team of oral hygienists and treatment co-ordinators are experts who love what they do, ready to guide you to a confident smile.

Follow-Ups
Not ready yet? We monitor growth and restart right where you left off.

A Highly Trained, Friendly Team
Qualified professionals who pursue continuous education and love helping people.

Clear, Open Communication
Transparent updates and plain language answers from start to finish.
MEET DR. CHOONARA
MEET DR. CHOONARA
Born in Brazil and raised in Johannesburg, Dr Sahide Choonara blends a global
outlook with deep community roots. After graduating dentistry at Wits
University with multiple awards, he completed both a Diploma in Orthodontics
and an MChD (Orthodontics) cum laude at the University of Pretoria.
Today he serves as an international ambassador for the American Association
of Orthodontists and sits on the board of the World Federation of
Orthodontists. He lectures at Wits and UP, publishes on digital treatment
protocols, and speaks at conferences worldwide.
When he isn’t teaching, Dr Choonara volunteers with Smile Foundation
outreach clinics, mentoring young clinicians and treating children who would
otherwise miss out on specialist care. Fluent in English, Portuguese and
Afrikaans, he believes every patient deserves thoughtful, tech driven
treatment that fits their lifestyle and leaves them with a smile they’re proud to share.
OUR TECHNOLOGY
Digital 3D scanners, facial scanners and in house 3D printers let us plan treatment with exceptional speed and accuracy.
MetiSmile
MetiSmile Facial Scanner – Captures facial information to create 3D models and assist in clinical diagnosis with its advanced software.
• Fast Scan Speed Ortho Simulation.
• Mandibular Trajectory Tracking Facial.
• Features Measurement & Comparison.
• Automatic Alignment of Intraoral and Facial Data.
Aoralscan 3
• Brand New Design.
•Fast Speed.
• High Accuracy.
• Powerful Al Process.
• Intuitive Communication.
YOAT Bender II
Faster & More Efficient with BENDER II.
• 3D Scanning.
• Wire Design.
• Wire Bending.
• Simple, user-friendly operation with FixR and BendR software.
•Click 3 points to start.
FixR automatically designs.
BendR automatically bends.
NBEE - LCD 3D Printer
• Worlds fastest dental 3D printer.
• 6 Full arches in 5 minutes.
• Accuracy at 100um – 99.6%.
• Accuracy at 50um – 95.05%.
NBEE D Printer
• 3 Dental models in 7 minutes.
• Accuracy at 100um – 99.08%.
• Accuracy at 50um -97.08%.
Tera Harz 2 Curing Unit 3rd Generation
• Optimal UV Energy & Irradiance.achieves rapid curing
• Multiple Curing Settings LV1 -LV5.
• Nitrogen generation eliminates oxygen inhibition layer.
• Correct cure to reach optimal mechanical properties for each resin type.
Formlabs 3B
The Most Trusted Dental 3D Printer.
The Form 3B provides dental professionals with maximum performance and versatility with an easy workflow. 3D print a wide variety of dental applications in-house with minimal interaction and unrivaled print accuracy and surface finish.
Form 3B is now succeeded by Form 4B, our next-generation dental 3D printer, which improves upon its toundation in every possible way.
Shinning 3D AccuFab-L4D LCD Printer
• Variable print size-4K Resolution.
• Small resin tank.
• Small ceramic platform.
• Reliable performance.
• Unparalleled accuracy.
• Multiple material options.
Shinning 3D AccuFab-L4D LCD Printer
AccuFab-L4K is a high-precision resin 3D printer independently developed by SHINING 3D. With the help of 4K resolution and 192 x 120 x 180 mm print size, AccuFab-L4K produces extraordinary print results with high fidelity while achieving continuous and stable operation. AccuFab-L4K is your ideal choice to meet most prototyping, engineering, and small volume production needs.
Shinning 3D AccuFab-L4D LCD Printer
TRIOS for accurate, scan-and-send impressions. TRIOS with 3D scans in realistic colors, three included engagement apps.
Shinning 3D AccuFab-L4D LCD Printer
Combining DICOM (XRAY) and intraoral scans in the Diagnocat STL module allows you to generate a 3D model.
OUR PEOPLE, OUR PROMISE
Our certified team, clinical and admin alike, creates a space where you feel heard, cared for and empowered. Continuous training keeps us at the forefront of new techniques, ensuring your care is as advanced as it is compassionate.
OFFICE TOUR
Our modern practice is built to feel calm, clean and welcoming, from the moment you arrive at reception to the treatment rooms. Take a virtual tour or pop in to experience the Choonara difference for yourself.
Our team is ready to help you take the next step toward the smile you’ve always wanted. Book your consultation today and experience the Choonara Orthodontics difference.
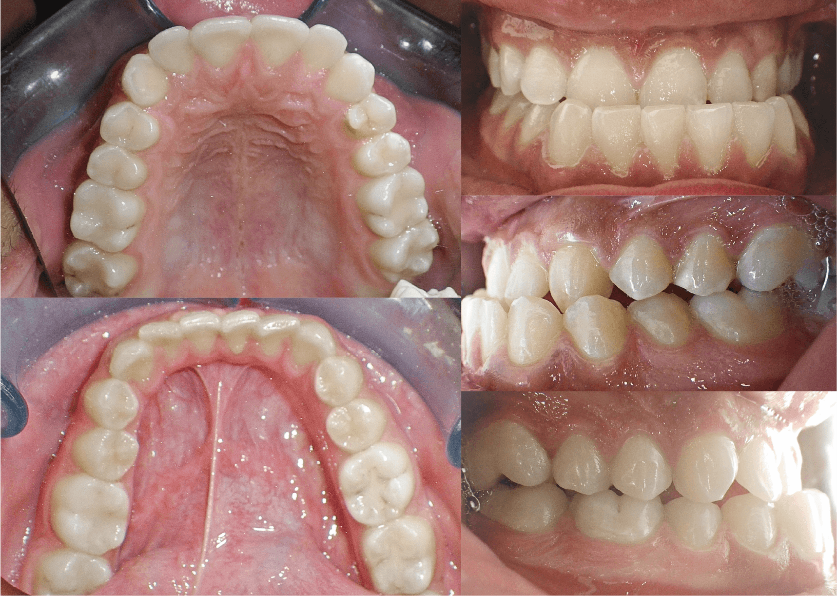
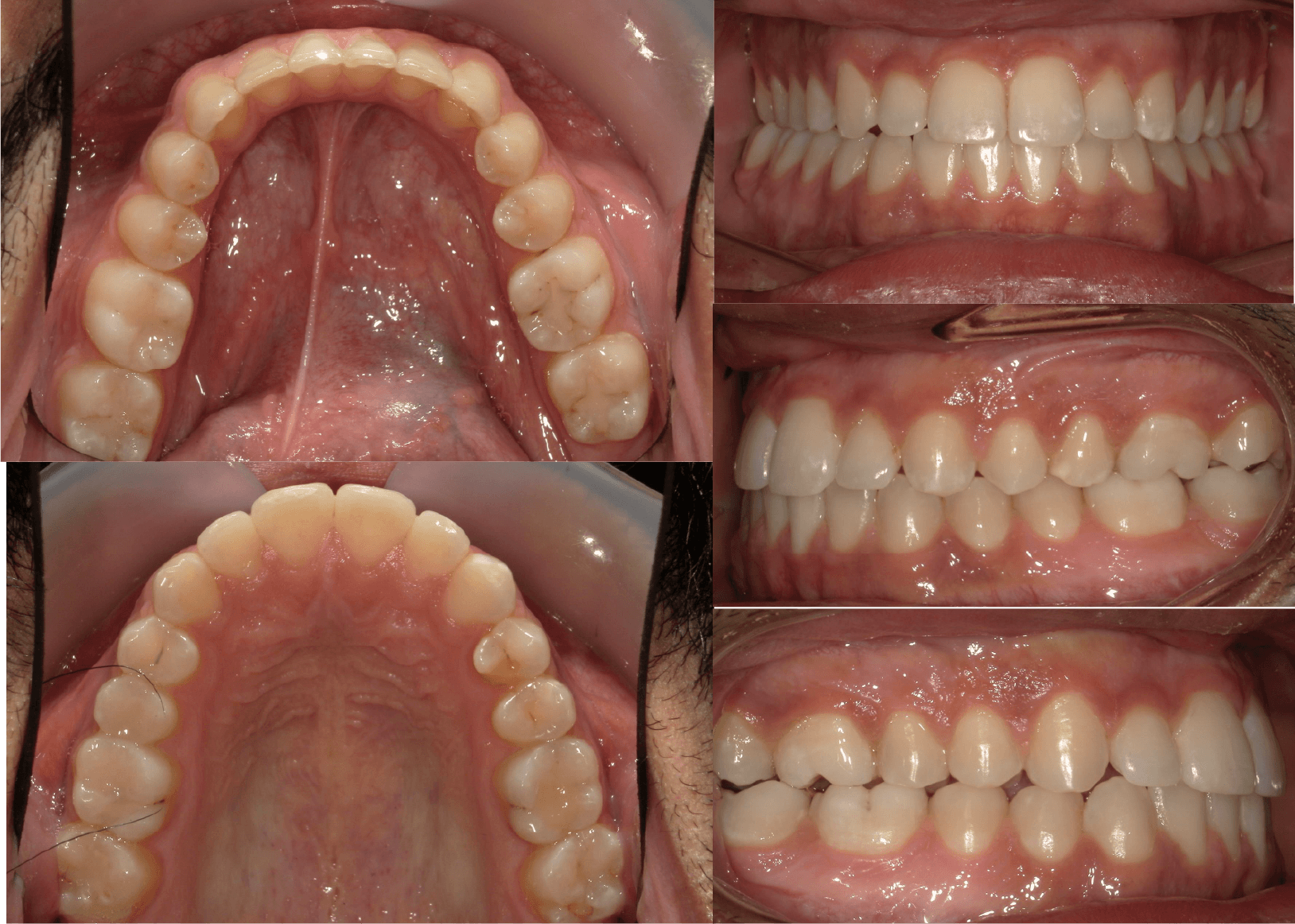
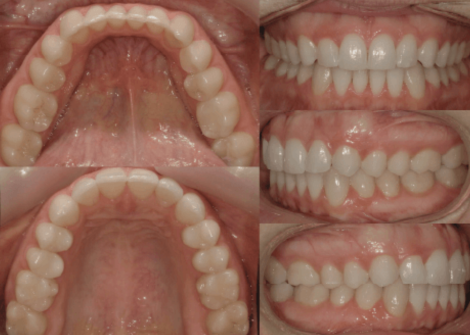
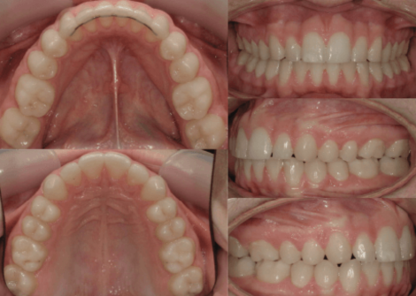
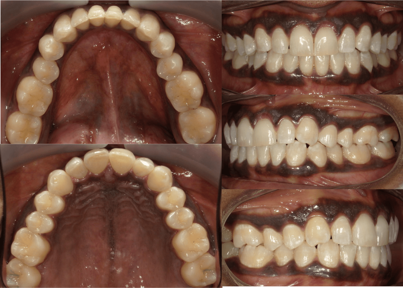
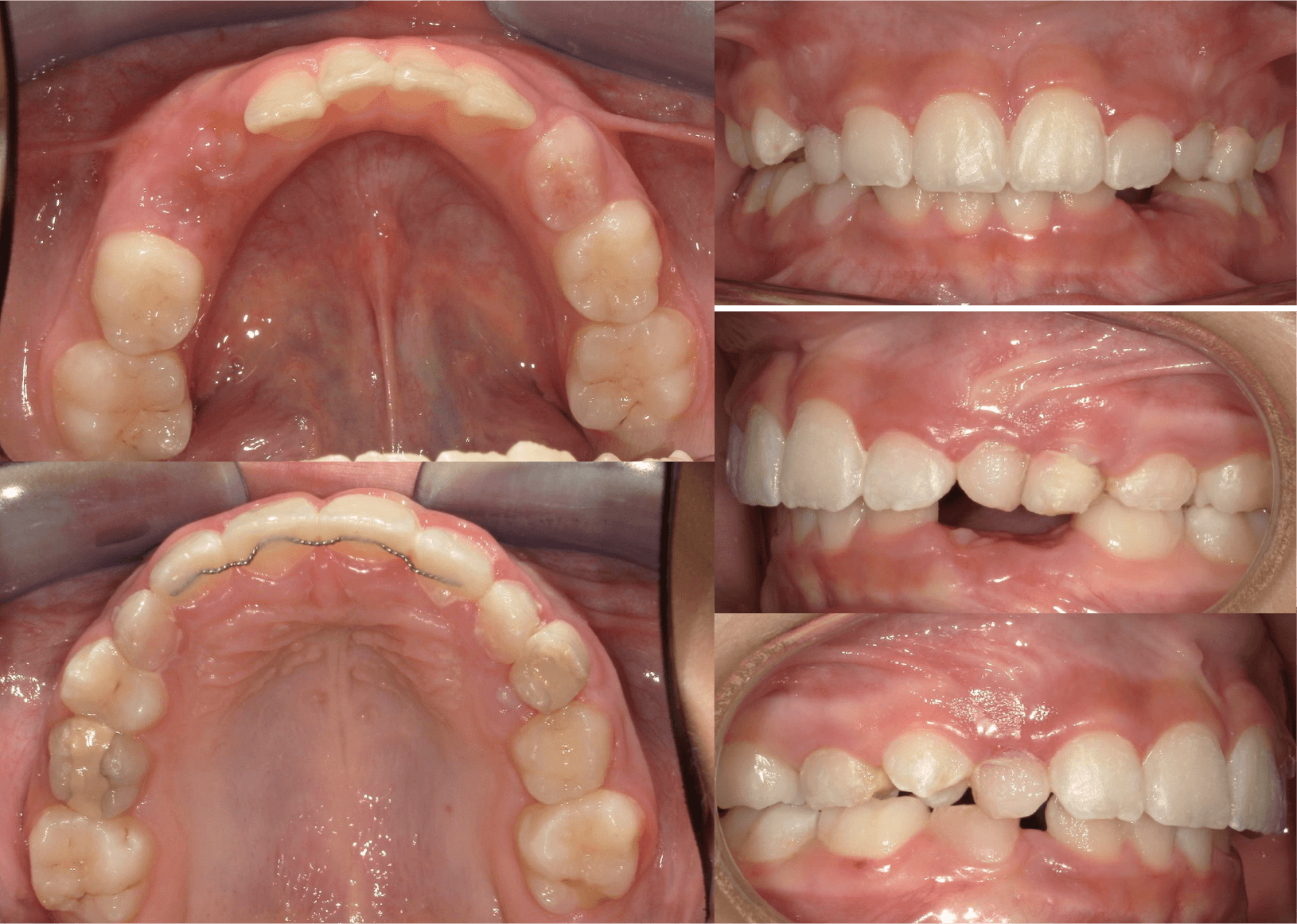
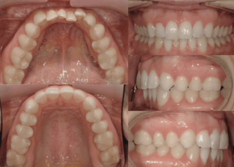
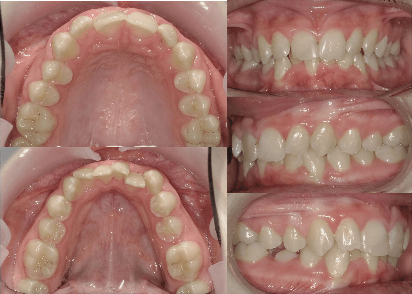
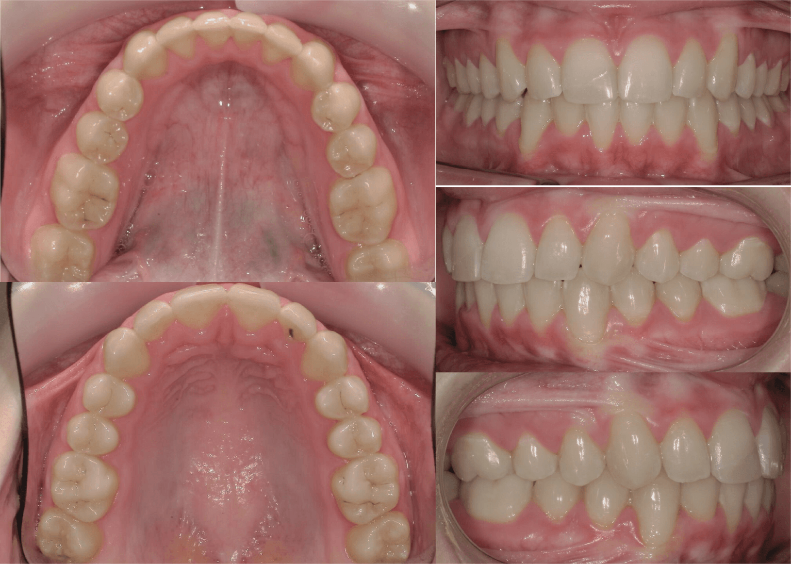
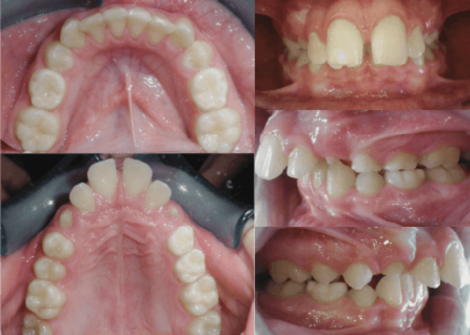
VIEW OUR BEFORE AND AFTER GALLERY
INITIAL
FINAL
INITIAL
FINAL
INITIAL
FINAL
INITIAL
FINAL
INITIAL
FINAL
INITIAL
FINAL
INITIAL
FINAL
INITIAL